1.85.0 • Published 10 months ago
ng-cornerstone v1.85.0
NgCornerstone
This is an angular component for CornerStone3D
It can be used as a viewer of DICOM images and NIFTI images.
- Support WADO-RS
- Support Nifti
- Support stack view
- Support MPR view
- Support Volume3D view
- Support segment display
- Tool list is configurable
Integration needs only 3 steps.
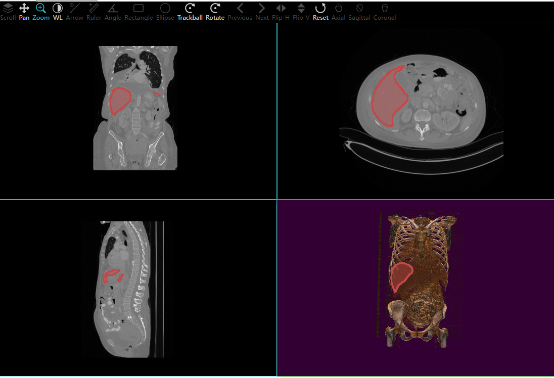
Preview
stack view

MPR view

Volume3D and mpr view

Integration
- Run
ng add ng-cornerstone - Edit
angular.jsonto import icon sprites files
...
"architect": {
"build": {
...
"assets": [
...
{
"glob": "**/*",
"input": "./node_modules/ng-cornerstone/src/assets",
"output": "/assets/"
}
...- Import ViewerModule and nc-viewer
@NgModule({
imports: [ViewerModule.forRoot()]
})<nc-viewer
[toolList]="toolList"
[imageInfo]="imageInfo"
[segmentInfo]="segmentInfo"
[layout]="layout"
></nc-viewer>Configuration
ToolList support follow tools:
- AngleTool,
- ArrowAnnotateTool,
- EllipticalROITool,
- LengthTool,
- PanTool,
- RectangleROITool,
- StackScrollTool,
- TrackballRotateTool,
- WindowLevelTool,
- ZoomTool
- FlipV
- FlipH,
- Rotate
- Next
- Previous
- Coronal
- Axial
- Sagittal
ImageInfo
should provide studyInstanceUID, seriesInstanceUID, urlRoot, viewportType, schema like:
Orthographic and WADO-RS
{
studyInstanceUID: '1.3.6.1.4.1.14519.5.2.1.7009.2403.334240657131972136850343327463',
seriesInstanceUID: '1.3.6.1.4.1.14519.5.2.1.7009.2403.226151125820845824875394858561',
urlRoot: 'https://d1qmxk7r72ysft.cloudfront.net/dicomweb',
viewportType: Enums.ViewportType.ORTHOGRAPHIC,
schema: RequestSchema.WadoRs,
}Volume3D
{
viewportType: Enums.ViewportType.VOLUME_3D
}Nifti
imageInfos = [{
studyInstanceUID: '1.2.392.200055.5.4.80861305518.20150928153455671288',
seriesInstanceUID: '1.2.392.200036.9142.10002202.1020869001.2.20150928174647.30151',
urlRoot: 'http://example.com/ABD_LYMPH_006/fe0ace7a-b70a-43bc-9eb0-52359b4d2241/Images/ABD_LYMPH_006.nii',
// urlRoot: 'http://example.com/ABD_LYMPH_006/fe0ace7a-b70a-43bc-9eb0-52359b4d2241/Images/ABD_LYMPH_006.nii.gz',
viewportType: Enums.ViewportType.VOLUME_3D,
// viewportType: Enums.ViewportType.ORTHOGRAPHIC,
schema: RequestSchema.nifti,
}]Layout
Layout support 4 types:
LayoutEnum.STACK, //1x1
LayoutEnum.SAGITTAL = 1, //1x1
LayoutEnum.ORTHOGRAPHIC = 2, //1x3 including AXIAL, SAGITTAL, CORONAL
LayoutEnum.VOLUME = 3 //2x2 including VOLUME_3dToolList support follow tools:
Troubleshooting
ng serve failed, try to edit tsconfig.json
{
"compilerOptions": {
"skipLibCheck": true
}
}Enable WASM
To enable dynamic-import cornerstoneWADOImageLoader, you can use @angular-builders/custom-webpack.
The angular json should like:
"architect": {
"build": {
"builder": "@angular-builders/custom-webpack:browser",
"options": {
"customWebpackConfig": {
"path": "./extra-webpack.config.js",
"mergeRules": {
"externals": "replace"
}
},
"assets": [
...
{
"glob": "**/*",
"input": "./node_modules/@cornerstonejs/dicom-image-loader/dist/dynamic-import",
"output": "/"
}
]
}
}
}extra-webpack.config.js should like:
module.exports = {
resolve: {
// We use this alias and the CopyPlugin below to support using the dynamic-import version
// of WADO Image Loader, but only when building a PWA. When we build a package, we must use the
// bundled version of WADO Image Loader so we can produce a single file for the viewer.
// (Note: script-tag version of the viewer will no longer be supported in OHIF v3)
alias: {
'@cornerstonejs/dicom-image-loader':
'@cornerstonejs/dicom-image-loader/dist/dynamic-import/cornerstoneDICOMImageLoader.min.js',
},
},
};For more detail, refer to here
Enable SharedBufferArray
Edit angular.json add two headers:
...
"serve": {
...
"options": {
"host": "0.0.0.0",
"headers": {
"Cross-Origin-Embedder-Policy": "require-corp",
"Cross-Origin-Opener-Policy": "same-origin"
},
...
},
...You should also add the two header when deploy your app as a product.
Contribution
- ng-cornerstone is the library.
- ncv-example is an example app of ng-cornerstone
- ng-playground is an angular app depends on @cornerstonejs directly.
1.85.0-beta
10 months ago
1.85.0
10 months ago
1.84.0
1 year ago
1.84.1
1 year ago
1.77.0
1 year ago
1.45.1
2 years ago
1.45.0
2 years ago
0.0.0
2 years ago
0.0.9
2 years ago
0.0.8-beta
2 years ago
0.0.8-gamma
2 years ago
0.0.8
2 years ago
0.0.8-alpha
2 years ago
0.0.7
2 years ago
0.0.6
2 years ago
0.0.3
2 years ago
0.0.2
2 years ago
0.0.1
2 years ago